人流AI识别
已于青岛2024年啤酒节首次使用。。。。通过实时视频对人流进行识别、、、、区域范围内排队人数进行识别,,,,以及上下车人数进行识别,,,,用于大调度和实时调度提供辅助决策支持。。。
查看详情


已于青岛2024年啤酒节首次使用。。。。通过实时视频对人流进行识别、、、、区域范围内排队人数进行识别,,,,以及上下车人数进行识别,,,,用于大调度和实时调度提供辅助决策支持。。。
查看详情
应用于公交车、、、工程车辆,,,通过车载机tbox实时获取车辆定位、、车速、、、油耗、、、发动机转速以及故障等信息,,,实时上传到云平台。。。识别驾驶员行为,,,,用于监测车辆状况和驾驶员有无违规行为。。。结合业务系统对作业、、、、车辆和人员进行全方位管控。。。
查看详情
已成功应用于公交集团,,,,并成为省市级大数据应用典范,,通过AI算法,,结合调度、、、区间时段电价、、、、以及电池性能生命周期,,,智能安排车辆充电时间、、、、对应充电枪以及充电电量,,,,在满足业务需求的同时,,,达到电费最省。。
查看详情
利用AI视觉技术实现生产环境下疑似违规行为的识别告警,,,,提供通用场景算法以及专用需求算法的智能分析。。
查看详情
已应用于某汽车集团企业,,,,通过AI算法,,,,智能进行仓库选址,,,并进行运输路线优化,,,,通过算法和系统降低运输和运营成本。。。。
查看详情
利用算法及AI,,集PC端以及可移动一体机和PDA终端,,,结合信息技术,,助力设备装备维修保养。。。
查看详情
利用AI视觉识别对零部件缺陷进行检测。。
查看详情
使用AI排产排版算法,,,通过选择订单产品,,根据零部件大小、、、剪裁要求以及订单数量自动智能生成排版图纸。。。。图纸在不借助AutoCAD等第三方软件的前提下,,,支持在线排版图纸预览、、、导出图片、、导出CAD格式的dxf和dwg以及导出pdf。。。
查看详情
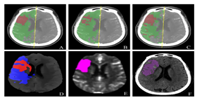
已应用于西医医疗设备医疗诊断和中医诊断,,,,为诊疗提供辅助决策支持。。
查看详情
已应用于发票、、、、票据、、血压、、、水电燃气等仪表数据的数字、、、字母、、、、中文、、日文的OCR识别。。
查看详情
利用AI对电池进行自动化设计,,同时对电池设计进行AI分析,,生成设计和性能分析报告。。
查看详情
已应用于多家公交集团,,,包括流程管理、、安全管理、、调度系统、、、、票务管理、、、、OA管理、、、、服务管理、、、、机务管理、、物资管理、、人资管理、、、运营管理、、、汽修管理等公交几乎全部功能。。。
查看详情